症状・病気をしらべる
「上腕骨顆上骨折」
症状
転倒や転落などをして、肘の部分に激しい痛みと腫れがあり、痛くて肘がうごかせない場合に、この骨折を疑います。骨折片で神経や血管が損傷されると、手や指がしびれたり動かせなくなることがあります。
原因と病態
ほとんどの例が、転んで手をついたり、鉄棒やうんていから転落して肘が反ることで骨折します。
子供によくみられる骨折です。

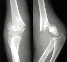
診断
X線(レントゲン)検査で、診断を行います。

治療
変形の程度が軽い場合は、ギプスやキャストによる固定を行います。
変形が大きくて不安定な場合には手術治療を行います。
腫れがひどい場合には、牽引(腕を吊って引っ張る)治療をおこなうこともあります。

合併症
神経や血管が損傷されることがあります。血管損傷の場合には、早急に手術が必要です。
骨折した部分では、骨が曲がって癒合することで、変性(内反肘)が残ることがあります。

関連する症状・病気
リンク
※日本手外科学会「手外科シリーズ 19」から画像を引用しております。